Understanding Teeth Whitening Options
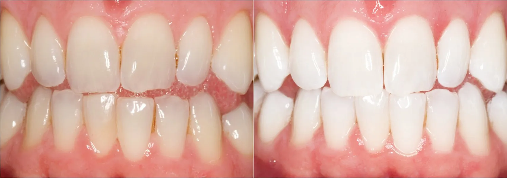
Teeth whitening has become a popular cosmetic procedure, offering a brighter and more confident smile. However, the market is flooded with options, from over-the-counter products to professional treatments. Among the most sought-after solutions are Kor Whitening and Opalescence. Understanding the nuances of each is crucial to making an informed decision. This guide will delve into a comparative analysis of these two prominent teeth whitening systems, helping you choose the most suitable option for your needs. We’ll explore their processes, benefits, and suitability for different individuals, ultimately guiding you toward a radiant, dazzling smile. Choosing the right teeth whitening method can significantly enhance your appearance and boost your self-esteem, making it a worthwhile investment.
Overview of Kor Whitening
Kor Whitening is a professional teeth whitening system known for its effectiveness and ability to tackle even the most stubborn stains. The system emphasizes deep bleaching, often combining in-office treatments with at-home maintenance. Kor Whitening is particularly recognized for its ability to combat tetracycline staining, a challenging discoloration that other methods often struggle to address. This system utilizes a unique refrigerated bleaching gel that is designed to maintain its potency, ensuring optimal results. Kor Whitening’s comprehensive approach often involves multiple applications and custom-fitted trays for at-home use, ensuring a gradual but significant transformation. Many users appreciate the longevity of results achieved with Kor Whitening, making it a popular choice for those seeking a long-term solution to teeth discoloration.
The Kor Whitening Process

The Kor Whitening process typically begins with a consultation and assessment by a dental professional. This is to determine the extent of discoloration and the patient’s suitability for the treatment. The in-office procedure involves the application of a high-concentration bleaching gel, which is left on the teeth for a specific period. The gel’s potency is maintained through refrigeration, enhancing its effectiveness. Custom-fitted trays are provided for at-home use, containing a less potent bleaching gel that is used nightly for a few weeks. This combination of in-office and at-home treatments ensures deep penetration and comprehensive whitening. The process is often monitored by the dentist to ensure optimal results and minimize any potential side effects, like sensitivity. Regular follow-up appointments may be scheduled to assess progress and make adjustments as needed.
Benefits of Kor Whitening
The benefits of Kor Whitening are numerous, making it a highly sought-after teeth whitening solution. One of the most significant advantages is its ability to effectively treat severe discoloration, including tetracycline stains. This can make a substantial difference in self-confidence and appearance. Kor Whitening often provides more dramatic and long-lasting results compared to over-the-counter options. The system’s emphasis on deep bleaching ensures that stains are removed from deep within the enamel. Patients often experience significantly brighter smiles. Furthermore, the combination of in-office and at-home treatments allows for personalized care and ongoing maintenance. The custom-fitted trays also enhance the comfort and effectiveness of the at-home treatments. Overall, Kor Whitening offers a comprehensive approach to teeth whitening, resulting in superior results.
Overview of Opalescence
Opalescence is a widely recognized brand in professional teeth whitening, offering a range of products designed for both in-office and at-home use. Known for its versatility, Opalescence provides options with varying concentrations of carbamide peroxide or hydrogen peroxide, catering to different needs and levels of sensitivity. Opalescence products are available in gels, toothpastes, and even whitening systems designed for use with custom trays. The brand emphasizes its commitment to patient comfort, offering formulations that minimize sensitivity. Opalescence is a trusted choice among dental professionals for its predictable results and ease of use. This makes it a suitable option for a broad spectrum of patients seeking to improve their smile. The brand’s widespread availability and various product options contribute to its popularity.
Opalescence Whitening Methods

Opalescence offers multiple methods for teeth whitening, accommodating different patient preferences and lifestyles. In-office whitening involves a higher concentration of bleaching agent, applied by a dentist and often accelerated with a specialized light. The process provides quick and noticeable results in a single visit. At-home whitening utilizes custom-fitted trays provided by the dentist, along with a prescribed whitening gel. This method allows patients to whiten their teeth at their convenience, following a regimen specified by their dentist. Over-the-counter options, like Opalescence whitening toothpastes and pre-filled trays, offer a less intensive approach, suitable for those seeking mild whitening or maintenance. The variety of methods enables individuals to select the option that best fits their needs, budget, and desired results. Each method’s effectiveness can vary depending on the specific product and the individual’s dental condition.
Pros and Cons of Opalescence
Opalescence boasts several advantages. One significant pro is the convenience of its at-home options, allowing for flexible treatment schedules. The range of available products caters to diverse needs and sensitivity levels. Opalescence’s professional-grade formulas often deliver noticeable results in a relatively short time. However, there are also some cons to consider. Sensitivity can be a potential side effect, especially with higher-concentration gels. The results might not be as dramatic or long-lasting as those achieved with more intensive systems like Kor Whitening. The effectiveness of over-the-counter products may be limited for severe discoloration. It’s also essential to use Opalescence products as directed by a dental professional to minimize any risks. Balancing these pros and cons helps individuals determine if Opalescence is the right choice for their teeth whitening goals.
Kor Whitening vs Opalescence Key Differences
Whitening Strength & Results

When comparing whitening strength and results, Kor Whitening typically offers more dramatic and long-lasting outcomes, especially for severe staining cases. This is due to its potent bleaching gel and deep-bleaching process. Opalescence, while effective, may provide more moderate results, particularly with at-home options. The strength of the bleaching agent and the duration of the treatment influence the final outcome. Kor Whitening often tackles stubborn stains that are resistant to other treatments. Users of Kor Whitening generally report a more significant improvement in their smile’s brightness. While Opalescence can be highly effective, the degree of whitening may vary depending on the product used and the individual’s dental condition. A consultation with a dentist can help determine the optimal treatment for desired results.
Sensitivity Considerations
Sensitivity is a common consideration with teeth whitening treatments. Both Kor Whitening and Opalescence can cause temporary sensitivity, although the degree varies. Kor Whitening is formulated to minimize sensitivity, with its unique gel composition and at-home maintenance reducing discomfort. Opalescence offers products with different concentrations of bleaching agents, allowing individuals to choose a formula that suits their sensitivity levels. Using desensitizing toothpaste or following the dentist’s recommendations can help manage sensitivity during treatment. Patients with sensitive teeth should discuss their concerns with their dentist to ensure the chosen whitening system is appropriate. Sensitivity usually subsides within a few days or weeks after the treatment is complete.
Cost Comparison
The cost of teeth whitening varies depending on the chosen system and the complexity of the treatment. Kor Whitening often comes with a higher price tag due to its intensive approach and the use of advanced technologies. The cost covers the in-office treatments, custom trays, and at-home maintenance kits. Opalescence, with its range of options, offers more budget-friendly choices. At-home whitening kits are generally less expensive than in-office treatments. The total cost depends on the specific products chosen, the number of treatments needed, and the dentist’s fees. It is important to weigh the cost against the expected results and the duration of the treatment. Consulting with a dentist provides a clear understanding of the associated costs and helps in planning the investment in a brighter smile.
Convenience and Application

The convenience and application methods of Kor Whitening and Opalescence differ. Kor Whitening typically involves a combination of in-office and at-home treatments. This can require multiple visits to the dentist’s office for assessments and applications, with at-home trays for ongoing whitening. Opalescence offers greater flexibility with its various options. In-office treatments provide immediate results, while at-home systems allow users to whiten their teeth on their schedules. The convenience factor depends on the patient’s lifestyle and preferences. Some may prefer the immediate results of in-office treatments, while others value the flexibility of at-home applications. The choice should align with the patient’s ability to commit to the treatment plan.
Who is Kor Whitening Best For
Ideal Candidates for Kor Whitening
Kor Whitening is best suited for individuals with severe tooth discoloration, including those with tetracycline staining, which is known to be resistant to other whitening methods. It is an excellent choice for people seeking dramatic and long-lasting results. Candidates should be committed to both in-office and at-home treatments. They should be prepared to follow the dentist’s instructions carefully and to maintain a consistent oral hygiene routine. Individuals who have tried other whitening methods with unsatisfactory results may also find Kor Whitening beneficial. It is essential for ideal candidates to have healthy teeth and gums, without active cavities or gum disease, to maximize the benefits of the treatment. A thorough dental examination is necessary to ensure that Kor Whitening is the right option.
Limitations of Kor Whitening

While Kor Whitening is highly effective, there are some limitations to consider. The treatment is typically more expensive than other options. The intensive nature of the treatment means that it requires a greater time commitment, with multiple appointments and at-home applications. Some individuals may experience temporary sensitivity, which requires them to use desensitizing toothpaste. As with any whitening treatment, Kor Whitening is not a permanent solution. The results will eventually fade over time, and maintenance treatments may be required to sustain the desired level of brightness. Additionally, Kor Whitening does not whiten dental restorations, such as crowns or veneers, which may need to be replaced to match the new shade of the natural teeth.
Who is Opalescence Best For
Ideal Candidates for Opalescence
Opalescence is a versatile option suitable for a wide range of individuals seeking teeth whitening. It is ideal for people looking for noticeable improvements without the intensity or cost of more advanced systems. This includes those with mild to moderate tooth discoloration, or those looking for maintenance or touch-up treatments. Opalescence offers various concentrations and application methods, catering to different needs and lifestyles. It is a good choice for individuals seeking the convenience of at-home treatments. Those with sensitive teeth can choose formulations designed to minimize discomfort. Opalescence is also suitable for people who want to achieve professional results without significant financial investment or time commitment. Consulting with a dentist is essential to select the most appropriate product and method.
Limitations of Opalescence

Opalescence has some limitations. The results may not be as dramatic or long-lasting as with more intensive systems like Kor Whitening, especially for severe staining. Some individuals may experience temporary sensitivity, depending on the concentration of the bleaching agent. The effectiveness of at-home treatments depends on consistent use and adherence to the dentist’s instructions. Over-the-counter options may not deliver significant results for deep discoloration. The treatment cannot whiten existing dental work such as crowns or fillings. Maintaining the results of Opalescence requires ongoing care, including regular dental check-ups and avoiding stain-causing foods and drinks. Understanding these limitations helps in setting realistic expectations.
Making the Right Choice
Consulting Your Dentist
The most important step in choosing between Kor Whitening and Opalescence is to consult with your dentist. A dental professional can assess the health of your teeth and gums and determine the extent of discoloration. They can evaluate the causes of the staining and recommend the most suitable treatment based on your individual needs and goals. Your dentist will consider factors such as sensitivity, budget, and the desired level of whitening. They can explain the benefits and limitations of each system, helping you make an informed decision. They can also provide professional guidance and ensure that the treatment is performed safely and effectively. Regular dental check-ups are essential to maintaining a healthy, bright smile.
Factors to Consider
Several factors should be considered when deciding between Kor Whitening and Opalescence. The severity of your tooth discoloration is a significant factor, as Kor Whitening is often more effective for extreme cases. Consider your budget, as the cost varies between the two treatments. Consider your sensitivity level. If you have sensitive teeth, discuss this with your dentist. Evaluate your time commitment, as Kor Whitening often requires more visits and at-home applications. Consider how quickly you want to see results; in-office treatments offer immediate changes. Determine your long-term goals, including the desired level of brightness and the duration of results. Remember to consult your dentist, and together, you’ll be able to choose the best option that suits you.
Conclusion
Choosing between Kor Whitening and Opalescence involves careful consideration of your individual needs, preferences, and dental health. Kor Whitening offers an intensive, deep-bleaching system suitable for severe discoloration, while Opalescence provides a versatile range of options to cater to different needs and budgets. Consulting with your dentist is crucial to determining the most appropriate treatment. By weighing factors such as whitening strength, sensitivity, cost, and convenience, you can make an informed decision that leads to a brighter, more confident smile. Remember that both options offer the potential to enhance your smile and improve your self-esteem. This makes the investment in professional teeth whitening a worthwhile endeavor, with the results that you can be proud of.
