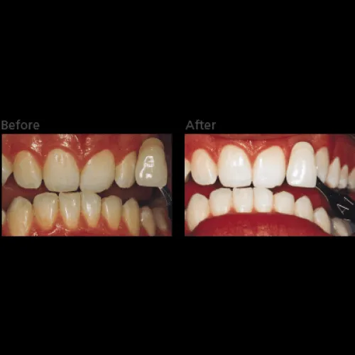
What is Poladay Whitening?
Poladay whitening is a professional-grade teeth whitening system, designed to effectively remove stains and discoloration from your teeth, revealing a brighter and more confident smile. It is a popular choice in cosmetic dentistry because of its effectiveness and convenience. The process typically involves the use of custom-fitted trays and a potent whitening gel that is applied to the teeth. Poladay is specifically formulated to be gentle on the enamel while still providing noticeable results. The active ingredient in the gel penetrates the enamel, breaking down the stain molecules that cause discoloration. This process leads to a significant improvement in the shade of your teeth, giving you a more radiant and youthful appearance. Poladay whitening is often preferred by individuals looking for a quick and reliable way to enhance their smile.
The Benefits of Poladay Whitening
Poladay whitening offers a multitude of benefits, making it a desirable option for those seeking a brighter smile. First and foremost, it is highly effective in removing stains caused by coffee, tea, wine, and other staining agents. This results in a noticeable improvement in the overall appearance of your teeth. Beyond aesthetics, a brighter smile can significantly boost your self-esteem and confidence. Many users report feeling more comfortable in social situations and more willing to smile freely. Poladay is also a relatively quick and convenient procedure, especially when compared to other cosmetic dental treatments. With professional guidance and a well-designed at-home maintenance plan, you can achieve and maintain a dazzling smile with minimal effort. Moreover, Poladay whitening is a non-invasive treatment, making it a safe and accessible option for most individuals looking to enhance their smile.
Step 1 Consult Your Dentist

Before starting any teeth whitening treatment, it is crucial to consult with your dentist. They will conduct a thorough examination of your teeth and gums to ensure you are a suitable candidate for Poladay whitening. During this consultation, the dentist will assess the health of your teeth, looking for any existing cavities, gum disease, or other dental issues that need to be addressed before whitening. They will also discuss your expectations and desired results, helping you understand the realistic outcomes of the treatment. Your dentist might take impressions of your teeth to create custom-fitted trays, which are essential for the whitening process. This initial consultation is important for ensuring your safety and maximizing the effectiveness of the treatment, as well as for getting professional guidance and addressing any concerns. The dentist will also provide personalized advice tailored to your specific oral health needs.
Step 2 Get the Poladay Whitening Kit
Once your dentist has approved the treatment and you are ready to proceed, you will be provided with a Poladay whitening kit. This kit typically includes custom-fitted trays, a whitening gel containing the active bleaching agent, and instructions for use. The custom trays are designed to fit your teeth precisely, ensuring the gel is evenly distributed and minimizing contact with your gums, reducing sensitivity. The whitening gel is usually available in different concentrations, allowing your dentist to tailor the treatment to your specific needs and the level of staining. Make sure to carefully read the instructions provided with the kit before you start the treatment. Keep all components of the kit clean and store them properly. Your dentist will explain how to use the kit correctly and answer any questions you have, ensuring that you are comfortable and confident in the process.
Step 3 Prepare Your Teeth Trays
Before applying the whitening gel, it is important to prepare your teeth trays. Rinse the trays gently with lukewarm water to remove any debris and ensure they are clean. Make sure the trays are dry before adding the gel. Your dentist will have instructed you on how much gel to apply to each tray. Typically, a small amount of gel is placed along the inner surface of the tray, enough to cover the front surfaces of your teeth. Be careful not to overfill the trays, as this can lead to the gel leaking out and potentially irritating your gums. Ensure you apply the gel evenly to all the teeth you wish to whiten. Any excess gel should be removed with a clean cotton swab. Properly prepared trays are essential for a comfortable and effective whitening experience.
Step 4 Apply the Poladay Whitening Gel

Carefully apply the Poladay whitening gel into the prepared trays. The amount of gel needed depends on the concentration and the specific product. Typically, a small bead of gel is placed along the front of each tooth impression in the tray. Be careful not to overfill the trays to prevent gel from overflowing onto your gums, which can cause irritation. Once the trays are filled with the gel, gently place them over your teeth. Ensure the trays fit snugly, but are not pushed in with excessive force. This ensures that the gel comes into complete contact with the surfaces of your teeth. If you feel any discomfort or the trays do not fit comfortably, remove them and consult with your dentist. Following the correct application procedure will help you achieve the best possible whitening results while minimizing any potential side effects.
Step 5 Wear the Trays and Whiten
Once the gel is applied and the trays are in place, it’s time to begin the whitening process. Wear the trays as directed by your dentist, usually for a specific amount of time each day or overnight. The duration will depend on the concentration of the whitening gel and your desired results. During this time, the active ingredients in the gel will break down the stain molecules, gradually lightening the color of your teeth. Avoid eating or drinking anything except water while the trays are in. This is to prevent the gel from being diluted or staining your teeth. After the recommended time, remove the trays and rinse your mouth thoroughly with water to remove any remaining gel. Clean your trays carefully with a toothbrush and cool water, ensuring they are completely free from gel residue.
Step 6 Maintain a Bright Smile
After completing the Poladay whitening treatment, it’s important to maintain your newly brightened smile. Avoid foods and drinks that can stain your teeth, such as coffee, tea, red wine, and dark-colored berries. If you do consume these items, brush your teeth afterward or rinse your mouth with water. Maintaining good oral hygiene practices is essential. Brush your teeth twice a day with a whitening toothpaste and floss daily. Regular dental check-ups and professional cleanings are also vital for long-term results. Your dentist may recommend touch-up treatments from time to time to keep your smile looking its best. Consider using a whitening toothpaste or mouthwash as part of your daily routine. By following these steps, you can ensure that your bright smile lasts for years to come.
Poladay Whitening Tips for Maximum Results

To achieve the best possible results with Poladay whitening, follow these helpful tips. First, be patient and consistent with the treatment. Results may not be immediate, and it can take several days or weeks to see a significant improvement in the shade of your teeth. Avoid consuming staining foods and beverages, especially during the treatment period. Maintain excellent oral hygiene by brushing and flossing regularly. Use a straw when drinking beverages that can stain your teeth, such as coffee or soda. Consider using a whitening toothpaste to help maintain your results. Follow all instructions provided by your dentist carefully, and do not exceed the recommended treatment duration. If you experience any sensitivity or discomfort, contact your dentist immediately. Regular dental check-ups and professional cleanings will help keep your teeth looking bright and healthy.
Potential Side Effects and How to Manage Them
Like any dental treatment, Poladay whitening can have potential side effects. The most common side effect is tooth sensitivity, which may occur during the whitening process. This can range from mild discomfort to more intense sensitivity. To manage this, your dentist may recommend using a toothpaste designed for sensitive teeth, or using a fluoride rinse. Gum irritation is another potential side effect, which can occur if the whitening gel comes into contact with your gums. This can be minimized by ensuring the trays are properly fitted and avoiding overfilling them. If you experience gum irritation, discontinue use and consult with your dentist. In rare cases, individuals may experience a temporary change in the color of their fillings or crowns. If you have any existing dental work, discuss this with your dentist beforehand. It is important to contact your dentist immediately if you experience any severe or unusual symptoms.
