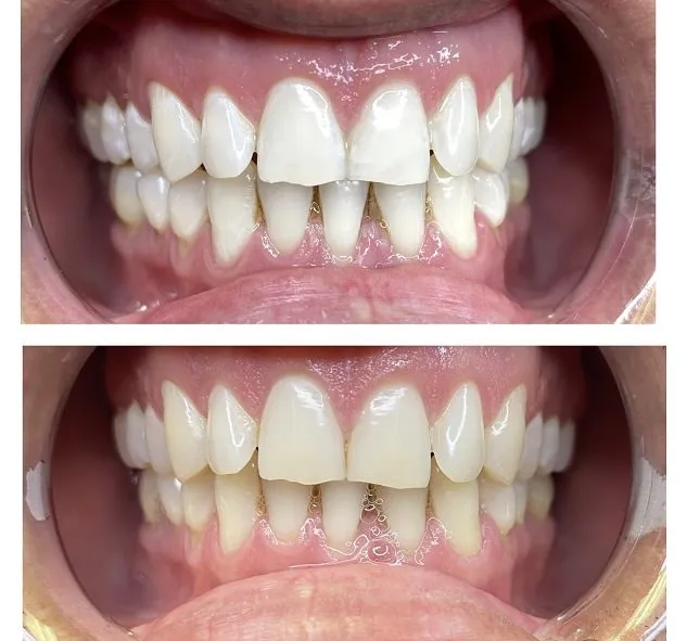
What is Teeth Whitening?
Teeth whitening is a cosmetic dental procedure designed to lighten the shade of your teeth and enhance your smile. It’s a popular treatment for those seeking to improve their appearance and boost their confidence. The process involves using bleaching agents, typically containing hydrogen peroxide or carbamide peroxide, to remove stains and discoloration from the enamel and dentin layers of your teeth. Discoloration can be caused by a variety of factors, including aging, genetics, and lifestyle choices like consuming staining foods and drinks. Whether you’re looking to brighten your smile before a special event or simply want a more youthful appearance, teeth whitening in Portland, ME offers a convenient and effective solution to achieve a sparkling smile. Understanding the process and the different options available is the first step towards a brighter, more confident you.
Types of Teeth Whitening
There are several teeth whitening options available in Portland, ME, each offering a different approach to achieving a brighter smile. The two main categories are in-office and at-home treatments. In-office whitening is performed by a dental professional and offers the most immediate and dramatic results. At-home options include over-the-counter products like whitening strips and toothpastes, as well as custom-made whitening trays prescribed by your dentist. The best choice for you will depend on your individual needs, the severity of your discoloration, and your budget. Considerations also include the level of convenience and the desired speed of results. Consulting with your dentist is crucial to determine the most suitable whitening method for your specific situation. This consultation will assess your oral health and help you make an informed decision.
In-Office Teeth Whitening

In-office teeth whitening is the fastest and most effective way to significantly brighten your smile. In Portland, ME, this procedure is performed by a trained dental professional who applies a high-concentration bleaching agent to your teeth. The process usually involves isolating the teeth with a protective barrier to shield the gums and soft tissues from the bleaching solution. A special light or laser is often used to activate the whitening agent, accelerating the bleaching process. The entire procedure typically takes about an hour to an hour and a half, and you can often see results immediately. The strength of the bleaching agent used in-office is much higher than what’s available in at-home kits, leading to more dramatic and faster results. Your dentist will also be able to address any sensitivity issues and ensure the treatment is safe and effective for your specific needs.
Benefits of In-Office Whitening
In-office teeth whitening provides several key benefits that make it a popular choice for many individuals in Portland, ME. The most significant advantage is the immediate and dramatic improvement in the shade of your teeth. This instant gratification is perfect for those who need a quick smile makeover before a special event. Another benefit is the supervision of a dental professional, ensuring the safety and effectiveness of the procedure. Dentists can monitor for any sensitivity issues and adjust the treatment accordingly. They also have access to stronger whitening agents than those available over-the-counter, leading to more noticeable results. Additionally, in-office whitening is more convenient, as the entire process is completed in a single appointment, saving you time and effort compared to at-home treatments that require daily applications over several weeks.
At-Home Teeth Whitening Options
At-home teeth whitening provides a more convenient and cost-effective alternative for brightening your smile. Several options are available in Portland, ME, including over-the-counter products like whitening strips and toothpastes, as well as custom-made whitening trays prescribed by your dentist. Whitening strips are easy to use and can be found at most drugstores; they typically contain a lower concentration of bleaching agent than in-office treatments, providing gradual results over a few weeks. Whitening toothpastes work by removing surface stains and may contain mild abrasive agents. Custom-made whitening trays, prescribed by your dentist, offer a more professional approach. These trays are designed to fit your teeth precisely, ensuring even distribution of the whitening gel and minimizing irritation to your gums. These are the most effective at-home option. These products are generally more affordable and can fit seamlessly into your daily routine.
Over-the-Counter Products

Over-the-counter (OTC) teeth whitening products are readily available in Portland, ME, and offer a convenient way to improve the appearance of your smile. Whitening strips are a popular choice, as they are easy to apply and require minimal time commitment. They work by adhering to your teeth and delivering a bleaching agent directly to the enamel. Whitening toothpastes are another common option; these usually contain mild abrasives and chemical agents that help remove surface stains. While OTC products can improve the shade of your teeth, it’s important to manage expectations. Results may not be as dramatic as in-office treatments, and it may take several weeks of consistent use to see noticeable changes. Always follow the manufacturer’s instructions carefully to ensure safe and effective use. If you experience any sensitivity or irritation, discontinue use and consult your dentist.
Custom-Made Whitening Trays
Custom-made whitening trays, prescribed by your dentist, offer a more professional and effective at-home teeth whitening solution. In Portland, ME, your dentist will take impressions of your teeth to create custom trays that fit your mouth perfectly. These trays ensure that the whitening gel comes into direct contact with the teeth and minimizes contact with the gums, reducing the risk of irritation. You’ll be provided with a professional-strength whitening gel, which you’ll apply to the trays and wear for a specified amount of time each day or night, as directed by your dentist. This approach offers more consistent and noticeable results compared to over-the-counter products, as the trays ensure optimal gel distribution and contact with the teeth. Your dentist will monitor your progress and adjust the treatment as needed. This allows for personalized approach, enhancing both the effectiveness and safety of the process.
Teeth Whitening Cost in Portland, ME
The cost of teeth whitening in Portland, ME, varies depending on the type of treatment you choose. In-office whitening is generally the most expensive option, with prices ranging from several hundred to over a thousand dollars. The cost reflects the expertise of the dental professional, the higher concentration of bleaching agents, and the immediate results. At-home whitening options are typically more budget-friendly. Over-the-counter products like whitening strips and toothpastes are the least expensive, usually costing between $20 to $100. Custom-made whitening trays, prescribed by your dentist, cost more than OTC products, but are less than in-office treatment. Prices vary depending on the specific clinic and the complexity of your treatment. It’s essential to consider your budget and desired results when deciding which option is right for you.
Factors Affecting Cost

Several factors influence the cost of teeth whitening in Portland, ME. The type of treatment is a major determinant; in-office procedures, which involve professional expertise and stronger bleaching agents, are generally more expensive than at-home options. The dental clinic’s location and reputation also play a role, as practices in affluent areas or with highly experienced dentists may charge more. The severity of your discoloration can also affect the cost, as more extensive treatments may require more time and materials. Additional services, such as dental cleanings before the whitening procedure, can also add to the overall expense. It’s always advisable to get a consultation and a detailed estimate from your dentist before starting any teeth whitening treatment to understand the total cost involved and any additional fees.
Finding the Best Provider in Portland, ME
Finding the right provider for teeth whitening in Portland, ME, is crucial for achieving the best results and ensuring your safety and satisfaction. Start by researching local dentists who offer cosmetic dental services. Look for practices with good reviews, experienced professionals, and a commitment to patient care. Check their websites for information about the types of whitening treatments they offer and their pricing. Consider scheduling consultations with a few different dentists to discuss your goals, ask questions, and get a sense of their approach and expertise. Ask about the specific whitening products they use, their experience with the treatments, and the expected results. This step allows you to find a provider that best meets your needs and ensures a positive experience.
What to Look For
When choosing a teeth whitening provider in Portland, ME, consider the following factors to ensure a positive experience. Look for a licensed and experienced dentist with a strong reputation in cosmetic dentistry. Check for patient reviews and testimonials to gauge the quality of their work and their level of patient satisfaction. Make sure the practice uses modern equipment and techniques to provide the best possible results. Inquire about the specific whitening products they use, and make sure they are reputable and proven effective. A good provider will also provide a thorough consultation, explaining the whitening process, discussing your expectations, and addressing any potential risks or side effects. Finally, consider the clinic’s overall environment and the level of customer service they offer; a friendly and welcoming atmosphere can make a big difference in your comfort and experience.
Reading Reviews and Checking Credentials

Before committing to a teeth whitening treatment in Portland, ME, reading online reviews and verifying the dentist’s credentials are crucial steps. Look for reviews on websites like Google, Yelp, and Healthgrades, as these often provide insights into the experiences of other patients. Pay attention to comments about the dentist’s professionalism, the quality of their work, and the overall patient experience. Checking the dentist’s credentials is also essential to ensure they are qualified and licensed to practice in Maine. You can typically verify a dentist’s license through the Maine Board of Dental Practice website. Ensure they have the necessary education and experience to perform cosmetic dental procedures. This due diligence helps you choose a trustworthy and skilled provider, which increases the likelihood of achieving your desired results and a beautiful, healthy smile.
Aftercare and Maintenance
Aftercare and maintenance are vital for preserving the results of your teeth whitening treatment. Following your dentist’s instructions carefully will help you keep your smile bright for as long as possible. Avoid staining foods and drinks, such as coffee, tea, red wine, and dark-colored berries, as these can re-stain your teeth. If you do consume these items, rinse your mouth with water immediately afterward. Use a whitening toothpaste to help maintain your results, but avoid excessive use. Practice good oral hygiene by brushing your teeth twice a day and flossing daily to remove plaque and prevent new stains from forming. Regular dental check-ups and cleanings are also essential for maintaining your oral health and the brightness of your teeth. Your dentist may recommend touch-up treatments periodically to keep your smile looking its best.
Tips for Maintaining Your White Smile
To keep your teeth sparkling white after a whitening treatment in Portland, ME, implement these tips into your daily routine. Limit your intake of staining foods and drinks, such as coffee, tea, red wine, and dark-colored sodas. When you do consume these items, drink through a straw to minimize contact with your teeth. Brush your teeth thoroughly twice a day with a whitening toothpaste, but avoid brushing too aggressively, as this can damage your enamel. Floss daily to remove plaque and food particles, as these can contribute to staining. Consider using an electric toothbrush, which is often more effective at removing surface stains. Regularly visit your dentist for check-ups and professional cleanings, as these can help maintain your oral health and remove any accumulated stains. By following these simple tips, you can enjoy a brighter, more confident smile for years to come.
Avoiding Staining Foods and Drinks

Avoiding staining foods and drinks is crucial for preserving the results of your teeth whitening treatment. Certain foods and beverages contain pigments that can easily stain your teeth, diminishing the brightness of your smile. Common culprits include coffee, tea, red wine, dark sodas, and highly pigmented fruits like berries. If you can’t completely avoid these items, try to minimize your consumption or drink them through a straw to reduce contact with your teeth. Rinsing your mouth with water immediately after consuming staining foods or drinks can also help prevent stains from setting in. Consider adding foods that help naturally whiten teeth to your diet, such as apples and celery. Being mindful of your diet and making conscious choices can significantly extend the life of your bright, white smile after a teeth whitening procedure in Portland, ME.
