Understanding Teeth Whitening in Shreveport LA
Are you dreaming of a brighter, more confident smile? Teeth whitening in Shreveport LA offers a fantastic solution to enhance your appearance and boost your self-esteem. This comprehensive guide will walk you through everything you need to know about achieving a dazzling smile, from understanding the causes of tooth discoloration to exploring the various teeth whitening options available in the Shreveport area. We’ll delve into professional treatments, over-the-counter products, and the best practices for maintaining your radiant results. Get ready to discover how you can achieve a brighter, more beautiful smile through teeth whitening in Shreveport LA.
What Causes Tooth Discoloration
Before diving into the world of teeth whitening, it’s important to understand the root causes of tooth discoloration. Discoloration can occur due to a variety of factors, both internal and external. External stains are often caused by the foods and drinks we consume, such as coffee, tea, red wine, and berries. These substances contain pigments that can adhere to the enamel surface, leading to staining over time. Tobacco use, including smoking and chewing tobacco, is another significant contributor to external tooth discoloration, causing yellowing and brown stains. Addressing these habits can be a crucial step in maintaining a brighter smile.
Factors Influencing Tooth Color

Internal factors also play a role in determining the color of our teeth. Age is a significant factor, as the enamel thins over time, revealing more of the yellowish dentin underneath. Genetics can also influence tooth color, with some individuals naturally having whiter teeth than others. Certain medications, such as tetracycline, taken during tooth development can lead to intrinsic staining that’s difficult to remove. Trauma to a tooth can also cause discoloration, as damage to the nerve or blood supply can lead to darkening. Understanding these influencing factors is essential in choosing the right teeth whitening approach in Shreveport LA.
Types of Teeth Whitening Options in Shreveport LA
Shreveport LA offers a diverse range of teeth whitening options, catering to various budgets and preferences. From professional treatments provided by dentists to over-the-counter products available at your local pharmacy, there’s a solution for everyone. The choice of whitening method depends on individual needs, the severity of staining, and desired results. Professional treatments often provide the most dramatic and long-lasting outcomes, while over-the-counter products offer convenience and affordability. Weighing the pros and cons of each option will help you make an informed decision for a brighter smile.
Professional Teeth Whitening Treatments
Professional teeth whitening treatments, administered by experienced dentists in Shreveport LA, typically provide the most effective and noticeable results. These treatments utilize stronger whitening agents than those found in over-the-counter products, allowing for deeper penetration of the enamel and more significant stain removal. Professional treatments offer the advantage of being performed under the supervision of a dental professional, ensuring safety and minimizing the risk of potential side effects. Dentists can also address specific concerns, such as sensitivity or uneven staining, to customize the treatment to your unique needs.
In-Office Whitening Procedures

In-office whitening procedures involve a dentist applying a high-concentration bleaching agent directly to your teeth. The procedure is usually completed in a single visit, making it a convenient option for those seeking immediate results. Before the procedure, your gums are protected with a barrier to prevent irritation. The whitening agent is then applied, and a special light or laser may be used to activate the bleaching process, enhancing its effectiveness. The entire procedure typically takes about an hour and can significantly brighten your smile in a single session, providing a quick and impactful solution for teeth whitening in Shreveport LA.
Take-Home Whitening Kits
Take-home whitening kits, provided by your Shreveport LA dentist, offer a more gradual approach to teeth whitening. These kits typically include custom-fitted trays that are designed to fit your teeth precisely. The dentist provides a bleaching gel, which you apply to the trays and wear for a specified period each day, usually for a few hours or overnight. Take-home kits allow for greater flexibility and control over the whitening process, enabling you to achieve your desired results at your own pace. Your dentist will provide instructions and monitor your progress to ensure the best and safest outcome.
Over-the-Counter Teeth Whitening Products
For those seeking a more affordable and readily available option, over-the-counter teeth whitening products are available at most drugstores and supermarkets in Shreveport LA. These products offer a convenient way to brighten your smile at home, without the need for a dental appointment. However, it’s important to be aware that these products typically contain lower concentrations of whitening agents compared to professional treatments, and the results may not be as dramatic or long-lasting. Always follow the product instructions carefully and consult with your dentist if you have any concerns about their use.
Whitening Toothpastes

Whitening toothpastes are a popular choice for maintaining a brighter smile, as they are easily incorporated into your daily oral hygiene routine. These toothpastes typically contain mild abrasives and polishing agents that help remove surface stains and plaque, resulting in a slightly whiter appearance. Some whitening toothpastes also contain low concentrations of hydrogen peroxide, which can help to further lighten the teeth. While whitening toothpastes can be effective at removing surface stains, they are generally not as effective at altering the intrinsic color of the teeth as professional treatments or stronger whitening products.
Whitening Strips
Whitening strips are another popular over-the-counter option, offering a convenient and easy-to-use method for teeth whitening. These thin, flexible strips are coated with a whitening gel containing hydrogen peroxide. You apply the strips directly to your teeth, following the instructions on the package. Whitening strips can be effective at removing surface stains and lightening the teeth, although the results may vary depending on the concentration of the whitening agent and the duration of use. Consistent use over several weeks is usually required to see noticeable results. Be sure to follow the product instructions and consult with your dentist if you experience any sensitivity or irritation.
Comparing Professional vs. DIY Whitening
Choosing between professional and DIY teeth whitening options depends on individual circumstances, desired results, and budget considerations. Professional treatments offer the advantage of being performed by a dental professional, ensuring safety and effectiveness. They typically provide more dramatic and long-lasting results, especially for severe staining. DIY options, such as over-the-counter products, are often more affordable and convenient, but may not be as effective for deep-seated stains. Consider your specific needs, the severity of your discoloration, and your budget when making your decision. Consulting with a dentist in Shreveport LA can help you determine the most suitable option for your smile goals.
Cost Considerations

The cost of teeth whitening varies widely depending on the type of treatment and the provider you choose in Shreveport LA. Professional treatments, such as in-office whitening, tend to be more expensive than over-the-counter options, due to the expertise and resources involved. Take-home whitening kits, provided by a dentist, generally fall in the mid-range in terms of cost. Over-the-counter products, such as whitening toothpastes and strips, are the most budget-friendly options. When considering cost, factor in the long-term value, effectiveness, and potential risks of each option to determine the best investment for your smile.
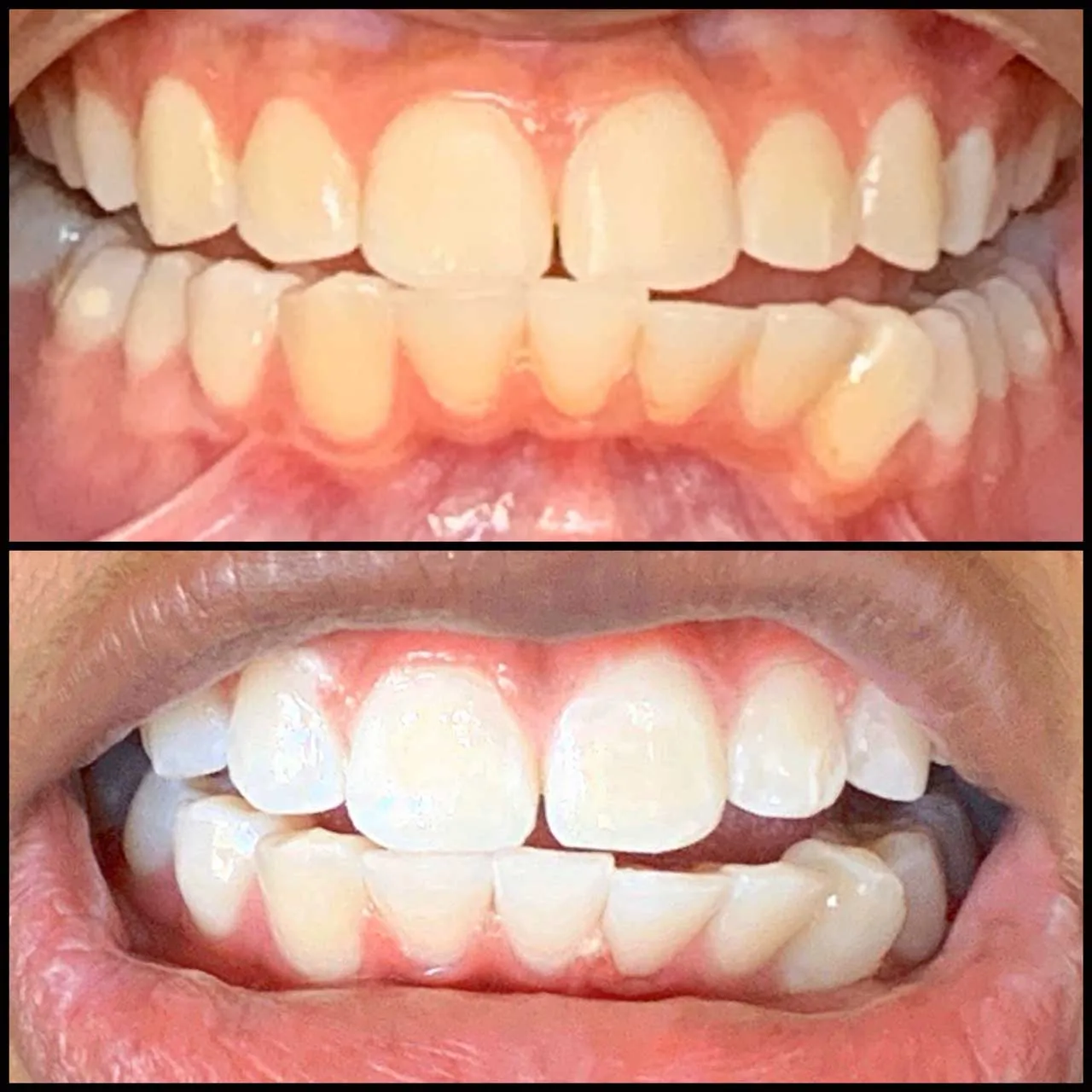
Effectiveness and Results
The effectiveness of teeth whitening treatments depends on several factors, including the type of treatment, the severity of the staining, and individual tooth characteristics. Professional treatments generally provide the most significant and long-lasting results, often lightening teeth several shades. Over-the-counter products may offer more subtle improvements, particularly for surface stains. The results also depend on adherence to the treatment instructions and the patient’s oral hygiene habits. Maintaining a bright smile requires consistent oral care and may involve occasional touch-up treatments. Consulting with a Shreveport LA dental professional can provide realistic expectations and help you achieve optimal results.
Safety and Potential Risks
Teeth whitening treatments are generally safe when performed or used according to the instructions. However, there are potential risks associated with any whitening procedure. The most common side effect is tooth sensitivity, which usually subsides within a few days after treatment. Gum irritation can also occur if the whitening agent comes into contact with the soft tissues. In rare cases, excessive whitening can cause enamel damage. It’s crucial to consult with a dentist in Shreveport LA before undergoing any teeth whitening treatment to assess your oral health, determine the appropriate treatment, and minimize potential risks. Following the dentist’s recommendations and using products as directed is essential for safe and effective results.
Choosing the Right Teeth Whitening Provider in Shreveport LA

Selecting the right teeth whitening provider in Shreveport LA is a critical step in achieving a brighter smile safely and effectively. Researching your options, checking credentials, and scheduling a consultation will help you make an informed decision and find a dental professional who meets your needs. Consider the provider’s experience, the types of treatments offered, and patient reviews before making your choice. A qualified and experienced dentist can assess your oral health, recommend the most appropriate treatment, and provide personalized care to help you achieve your desired results. Choosing the right provider ensures a positive and successful teeth whitening experience.
Researching Dentists and Clinics
Begin your search for a teeth whitening provider in Shreveport LA by researching local dentists and dental clinics. Look for providers with experience in cosmetic dentistry and a good reputation in the community. Check their websites for information about the types of treatments they offer, the technologies they use, and patient testimonials. You can also search online for reviews and ratings from other patients to get an idea of their experiences. Consider factors such as the clinic’s location, hours, and payment options. Narrow down your list to a few promising candidates and then move on to the next step, checking their credentials and reviews.
Checking Credentials and Reviews
Once you’ve identified potential providers, verify their credentials to ensure they are licensed and qualified to perform teeth whitening procedures. Check the dentist’s educational background, professional affiliations, and any certifications in cosmetic dentistry. Patient reviews provide valuable insights into the quality of care and the overall patient experience. Read online reviews on websites such as Google, Yelp, and Healthgrades to get a sense of other patients’ experiences. Pay attention to comments about the dentist’s expertise, the clinic’s environment, and the staff’s professionalism. Checking credentials and reading reviews will help you choose a reputable and reliable provider for teeth whitening in Shreveport LA.
Scheduling a Consultation

After researching providers and checking their credentials and reviews, schedule a consultation with your top choices. The consultation is an opportunity to meet the dentist, discuss your goals, and have your oral health assessed. The dentist will examine your teeth, discuss your options, and recommend the most appropriate treatment plan. Ask questions about the procedure, the expected results, and any potential risks. This is also your chance to assess the dentist’s communication style, the clinic’s atmosphere, and the overall level of care. Scheduling a consultation allows you to make an informed decision and choose a provider you feel comfortable with and trust to achieve your desired results for teeth whitening in Shreveport LA.
Maintaining Your Bright Smile After Whitening
Maintaining your bright, white smile after teeth whitening requires consistent oral hygiene practices, mindful dietary choices, and regular dental checkups. Taking care of your teeth and following these guidelines will help you prolong the effects of your whitening treatment and keep your smile looking its best. By incorporating these habits into your daily routine, you can enjoy a confident, radiant smile for years to come. Remember, maintaining a white smile is an ongoing process, but the effort is well worth it for the boost in confidence and overall appearance.
Oral Hygiene Practices
Good oral hygiene is essential for maintaining a bright smile after teeth whitening. Brush your teeth at least twice a day with a fluoride toothpaste and floss daily to remove plaque and food particles. Consider using a soft-bristled toothbrush to avoid damaging your enamel. Rinsing with an antibacterial mouthwash can also help reduce bacteria and protect against staining. Regular brushing, flossing, and rinsing help remove surface stains and prevent the build-up of plaque, which can contribute to discoloration. Maintaining excellent oral hygiene is the foundation for a healthy, beautiful smile and helps preserve the results of your teeth whitening treatment.
Dietary Considerations
What you eat and drink can significantly impact the longevity of your teeth whitening results. Certain foods and beverages are more likely to stain your teeth. Minimize your consumption of coffee, tea, red wine, dark-colored sodas, and berries. If you do consume these items, rinse your mouth with water afterward or brush your teeth soon after to minimize staining. Smoking and chewing tobacco are major contributors to tooth discoloration, so quitting tobacco use is crucial for maintaining a bright smile. Being mindful of your diet and making smart food and drink choices will help you preserve your whitening results and enjoy a brighter smile for a longer period.
Regular Dental Checkups
Regular dental checkups and professional cleanings are vital for maintaining your bright smile after teeth whitening. During your checkups, your dentist will examine your teeth for any signs of decay or other dental issues. They will also perform a professional cleaning to remove plaque and tartar, which can cause discoloration. Your dentist may also recommend touch-up whitening treatments to keep your smile looking its best. Following your dentist’s recommendations for checkups and cleanings will help you maintain a healthy, beautiful smile and ensure the long-term success of your teeth whitening treatment. Schedule regular appointments to keep your teeth shining.
Conclusion
Achieving a brighter, more confident smile through teeth whitening in Shreveport LA is within your reach. By understanding the causes of tooth discoloration, exploring the various whitening options available, and making informed choices about your treatment, you can transform your smile and boost your self-esteem. Whether you opt for professional treatments or over-the-counter products, remember to prioritize your oral health, follow the instructions carefully, and maintain good oral hygiene practices. With the right approach and consistent care, you can enjoy a radiant, dazzling smile that lights up any room. Take the first step towards a brighter smile today and discover the transformative power of teeth whitening in Shreveport LA.
