Dealing with tetracycline stains can be a significant source of self-consciousness for many individuals. These stains, caused by the antibiotic tetracycline taken during tooth development, often present as dark bands or discoloration, impacting the overall appearance of your smile. Fortunately, advancements in cosmetic dentistry have provided effective solutions, and KOR Whitening stands out as a powerful option for addressing these challenging stains. This guide delves into the causes, effects, and solutions for tetracycline-stained teeth, with a focus on how KOR Whitening can help you achieve a brighter, more confident smile. Understanding your options is the first step towards reclaiming your radiant smile.
Understanding Tetracycline Stains
Tetracycline stains are a unique form of tooth discoloration that differs significantly from other types of staining, such as those caused by coffee, tea, or smoking. The distinctiveness lies in the origin of the stain, which is intrinsic, meaning it occurs within the tooth structure during its formation. This contrasts with extrinsic stains, which affect the surface of the enamel. The nature of tetracycline stains requires specific treatments to effectively address the discoloration and restore a natural, healthy appearance to the teeth. Understanding the nuances of these stains is crucial for selecting the most appropriate and effective treatment options.
Causes of Tetracycline Staining
Tetracycline stains result from the incorporation of tetracycline antibiotics into the developing tooth structure. This typically occurs when the antibiotic is administered to a child or a pregnant woman during the period of tooth formation. The medication binds to the calcium in the developing teeth, leading to discoloration. The severity and appearance of the staining vary depending on the dosage of the medication, the duration of its use, and the specific type of tetracycline administered. This can result in a range of shades, from yellow and brown to even gray or blue-gray, and may appear as bands or patches across the teeth. The timing of antibiotic exposure is critical, as it directly affects which teeth are impacted.
Types of Tetracycline Stains

Tetracycline stains manifest in various forms, each with a different appearance and potential impact on treatment outcomes. The most common types include the following
Staining can appear as uniform discoloration, horizontal bands, or a mottled effect. Some cases may exhibit a more pronounced discoloration in certain areas of the teeth, creating a complex visual pattern. The specific appearance depends on factors like the antibiotic dosage and the patient’s individual dental development. Identifying the type and severity is essential for the dentist to tailor a whitening strategy that delivers the best results.
- Mild staining often presents as a yellowish hue, usually responsive to whitening treatments.
- Moderate staining results in brown or darker yellow shades, potentially requiring more extensive treatment.
- Severe staining often involves gray or blue-gray tones, requiring more advanced approaches like KOR Whitening.
- Banded staining creates horizontal stripes across the teeth, the result of fluctuating antibiotic doses during tooth development.
The Impact of Tetracycline Stains on Your Smile
Tetracycline stains can have a significant impact on a person’s self-esteem and social interactions. The discoloration can make individuals feel self-conscious about their smiles, leading them to hide their teeth when they laugh or speak. This can affect their confidence in both personal and professional settings. Beyond the cosmetic concerns, the presence of these stains can also lead to a reluctance to smile or engage fully in social situations. Restoring a bright, healthy smile can boost self-esteem and enhance the overall quality of life. It also positively influences how individuals view themselves and how others perceive them.
Introducing KOR Whitening
KOR Whitening is a revolutionary teeth-whitening system specifically designed to effectively address even the most challenging cases of tooth discoloration, including tetracycline stains. Unlike many other whitening methods, KOR Whitening uses a unique approach that combines professional in-office treatments with custom-fitted trays for at-home maintenance. The system’s advanced formulation penetrates the tooth enamel to dissolve stain molecules, restoring the natural brightness of the teeth. KOR Whitening offers a comprehensive solution that delivers dramatic, long-lasting results, making it a top choice for those seeking to rejuvenate their smiles.
How KOR Whitening Works

KOR Whitening operates on a sophisticated principle of deep bleaching and continuous refrigeration to maintain the potency of the whitening agents. The system employs a specially formulated bleaching gel, which contains a high concentration of hydrogen peroxide. This gel is activated during both in-office and at-home treatments. The process breaks down stain molecules within the tooth structure, resulting in a lighter, brighter appearance. The custom-fitted trays provided by KOR ensure optimal contact between the whitening gel and the teeth, maximizing effectiveness and minimizing the risk of sensitivity. The continuous refrigeration, an integral component of the KOR system, ensures that the bleaching gel remains stable and active, delivering more consistent results than many other whitening treatments.
The Science Behind KOR Whitening
The effectiveness of KOR Whitening lies in its advanced formulation and technology, which are based on scientific principles. The proprietary bleaching gel is designed to penetrate the enamel and dentin, effectively breaking down the complex molecules that cause staining, including those from tetracycline. The system’s continuous refrigeration is crucial, as it preserves the potency of the whitening agents and minimizes the degradation often associated with conventional whitening systems. The custom-fitted trays ensure the gel is in constant contact with the teeth, facilitating optimal stain removal. KOR Whitening’s scientific foundation ensures that the treatment delivers results that are not only immediate but also long-lasting, providing a brighter, healthier smile. This method’s focus on deep bleaching offers a more effective stain removal process when dealing with tetracycline stains, a common cause of tooth discoloration.
KOR Whitening vs Other Whitening Methods
KOR Whitening distinguishes itself from other teeth-whitening methods in several significant ways. Unlike over-the-counter products such as whitening strips or toothpastes, KOR Whitening provides a more powerful and targeted approach that is particularly effective against tetracycline stains. While these over-the-counter options may offer limited results for mild stains, they often fail to address the deep, intrinsic discoloration caused by tetracycline. Furthermore, KOR Whitening combines in-office treatments with custom-fitted trays for at-home maintenance, creating a comprehensive solution that can deliver more dramatic and lasting results compared to methods that only focus on a single approach. KOR’s unique ability to maintain the potency of the whitening agents through refrigeration sets it apart, making it one of the more effective options for difficult-to-treat cases.
Why Choose KOR Whitening for Tetracycline Stains

KOR Whitening is particularly well-suited for treating tetracycline stains due to its advanced formulation and the combination of in-office and at-home treatments. The system’s deep bleaching capabilities can effectively penetrate the tooth structure and break down the stubborn stain molecules that other whitening methods often fail to remove. The customized trays provided by KOR ensure that the whitening gel is in direct contact with the stained areas, maximizing its effectiveness. KOR Whitening offers significant advantages such as its focus on maintaining the potency of the whitening agents and its tailored approach to each patient. It is designed to deliver results that are both visible and enduring. It is an effective choice for individuals seeking to overcome the aesthetic challenges presented by tetracycline staining. KOR Whitening is a powerful and reliable solution for achieving a brighter, healthier smile.
The KOR Whitening Process
The KOR Whitening process involves a series of carefully orchestrated steps designed to maximize effectiveness and ensure patient comfort. This process typically begins with a consultation and assessment. It is followed by the creation of custom-fitted trays for at-home use, and then progresses to in-office treatments and aftercare instructions. This multi-faceted approach ensures that each patient receives a personalized treatment plan that addresses their unique needs and goals. The combination of professional care and at-home maintenance contributes to the lasting results and high patient satisfaction associated with the KOR Whitening system.
Consultation and Assessment
The KOR Whitening process starts with a comprehensive consultation and assessment with a qualified dental professional. During this initial visit, the dentist will evaluate your oral health, discuss your concerns and goals, and determine if KOR Whitening is the appropriate treatment for you. This includes examining the type and severity of tetracycline staining, checking for any underlying dental issues, and taking impressions to create your custom whitening trays. The dentist will also review your medical history to ensure there are no contraindications to the treatment. This thorough assessment ensures a safe, effective, and personalized treatment plan.
Custom Tray Creation

A crucial component of the KOR Whitening system is the creation of custom-fitted whitening trays. These trays are specifically designed to fit your teeth perfectly, ensuring optimal contact between the whitening gel and the enamel surface. After the initial assessment, impressions of your teeth are taken, and these impressions are then sent to a lab where the trays are fabricated. The custom trays ensure that the whitening gel is evenly distributed and minimizes the risk of gum irritation. The use of custom trays enhances the effectiveness of the whitening process and contributes to the long-lasting results that KOR Whitening is known for. It enables the bleaching agent to work more efficiently, delivering a brighter, more uniform smile.
The In-Office Whitening Procedure
The in-office component of KOR Whitening involves a professional whitening treatment performed by your dentist. This typically involves applying the KOR whitening gel to your teeth and then using a special light to activate the bleaching agents. The process is carefully monitored by the dental team, who will assess your progress and ensure that the treatment is comfortable and effective. The in-office procedure often provides a noticeable improvement in tooth brightness, which serves as a foundation for the at-home whitening regimen. The in-office sessions allow for professional supervision and provide you with the confidence and support you need to achieve your desired results.
At-Home Whitening with KOR
Following the in-office procedure, the KOR Whitening system incorporates an at-home component to continue the whitening process and maintain results. You will receive custom-fitted trays and whitening gel to use at home. Your dentist will provide detailed instructions on how to use the trays and gel safely and effectively. The at-home treatments are typically performed for a specified amount of time each day or night. It provides a crucial element in the comprehensive KOR Whitening plan, allowing the whitening process to continue over a period of time and help ensure that the results are long-lasting. This phase reinforces the benefits of the in-office procedure, helping you to achieve and maintain a brighter, more confident smile.
Maintenance and Aftercare

Maintaining the results of KOR Whitening involves a commitment to proper oral hygiene and adherence to aftercare recommendations. The aim of aftercare is to protect the teeth and to prevent future staining, while ensuring a longer-lasting brighter smile. Your dentist will provide specific instructions on how to maintain your teeth and how to prevent future staining. Regular dental check-ups and cleanings are also essential. These steps will help you preserve your results and protect the investment you’ve made in achieving a brighter, healthier smile.
Tips for Maintaining a Bright Smile
To keep your smile bright after KOR Whitening, follow these guidelines
By following these tips, you can extend the lifespan of your whitening results and enjoy a confident, radiant smile for years to come. It is a holistic approach to oral hygiene and dental care that will help you maintain the beauty and health of your teeth.
- Practice excellent oral hygiene, including brushing twice a day and flossing daily.
- Avoid or limit consumption of staining foods and beverages, such as coffee, tea, red wine, and berries.
- Use a straw when drinking staining beverages to minimize contact with your teeth.
- Consider using a whitening toothpaste or mouthwash to help maintain brightness.
- Schedule regular dental check-ups and cleanings to remove surface stains.
Addressing Sensitivity and Side Effects
While KOR Whitening is a safe and effective procedure, some individuals may experience temporary sensitivity during or after the treatment. This sensitivity is usually mild and transient, subsiding within a few days. In addition to sensitivity, some patients may experience mild gum irritation. Your dentist will provide guidance on managing any side effects, which may include using desensitizing toothpaste or fluoride treatments. If you experience persistent or severe sensitivity, contact your dentist for further guidance. KOR Whitening minimizes sensitivity through its advanced formulation, which aims to ensure a more comfortable whitening experience.
Success Stories and Results

KOR Whitening has helped numerous patients transform their smiles and regain confidence. Many patients with tetracycline stains have experienced remarkable improvements, achieving significant whitening and reducing discoloration. The results vary depending on the severity of the stains and the individual’s response to the treatment. However, the KOR system often delivers impressive results, making it a highly sought-after solution for those dealing with tetracycline-stained teeth. The transformation is often remarkable, offering dramatic improvements in tooth color and overall appearance. The success of KOR Whitening is due to its comprehensive and customizable approach, which is designed to meet the unique needs of each patient.
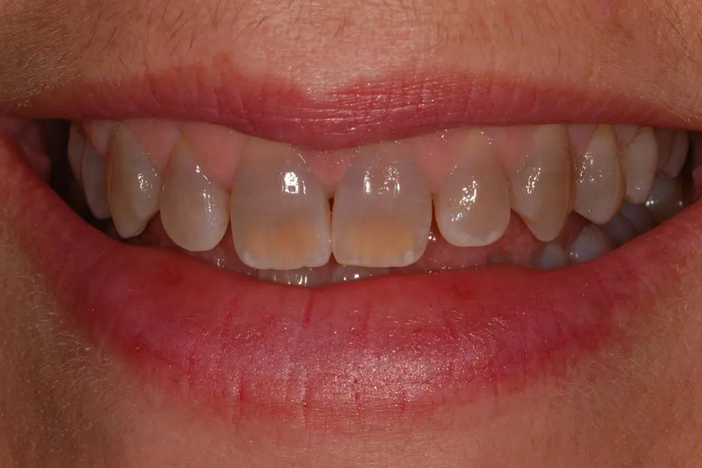
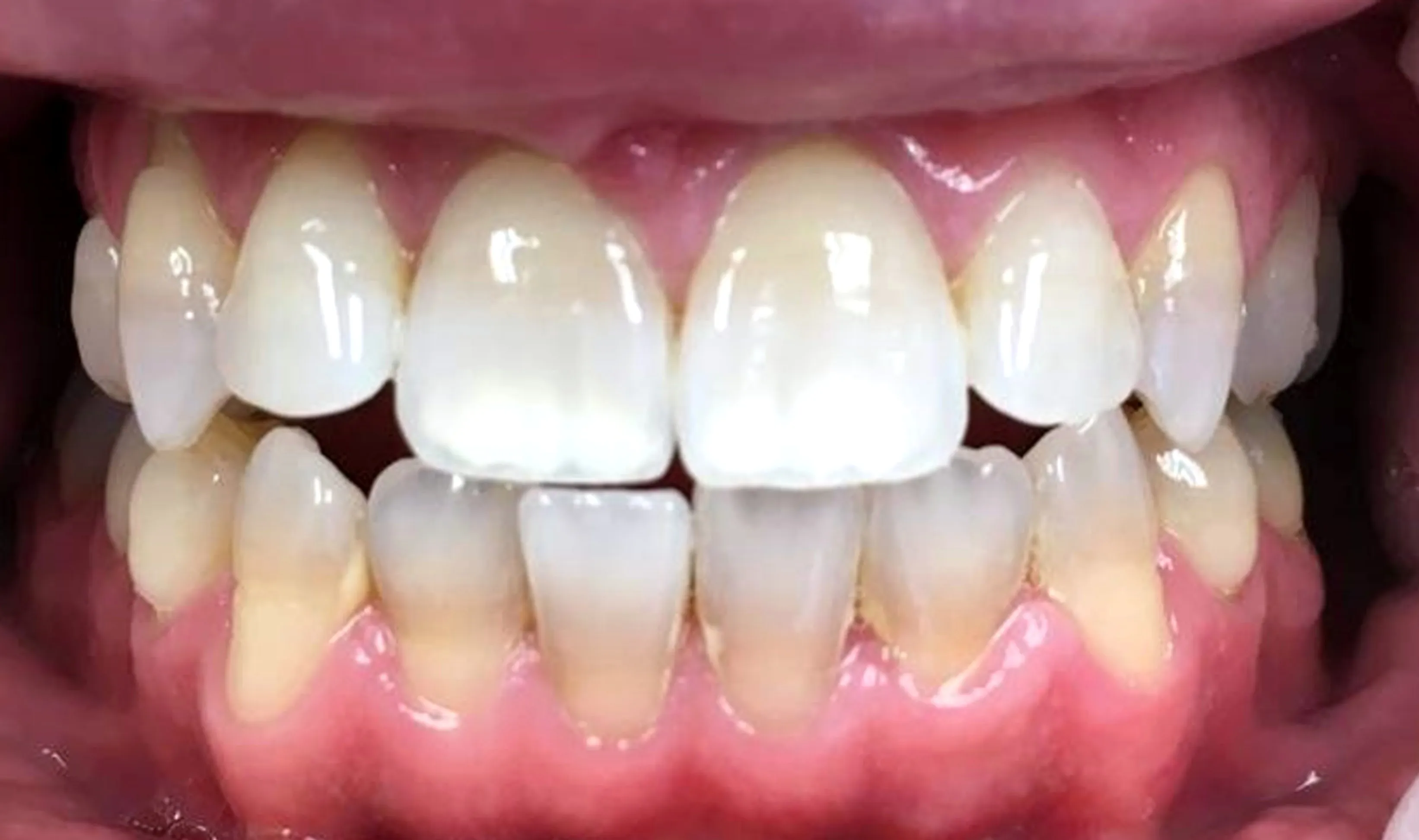
Before and After Photos
Before and after photos provide powerful visual evidence of the effectiveness of KOR Whitening. These images showcase the dramatic improvements in tooth color and the transformation of smiles. The images help illustrate the capabilities of the KOR system. These images demonstrate the ability of the KOR Whitening system to address tetracycline staining and provide a realistic preview of the potential outcomes of treatment. Reviewing these photos can offer reassurance and confidence in the KOR Whitening process.
Patient Testimonials
Patient testimonials offer valuable insights into the experiences of individuals who have undergone KOR Whitening. These testimonials highlight the satisfaction and positive outcomes, and they can provide you with confidence in the treatment. Patient testimonials frequently share stories about how KOR Whitening improved their smiles and boosted their self-esteem, offering real-world perspectives. They also discuss the convenience and ease of the KOR Whitening process. They offer a glimpse into the transformations achieved through the KOR Whitening system, illustrating the potential for dramatic changes and improved confidence.
Making the Decision
Deciding whether KOR Whitening is right for you involves careful consideration of your goals and the potential benefits and drawbacks. This step involves weighing the need to improve your smile against the cost of the procedure and the commitment required to follow the treatment plan. Understanding the process and the expected outcomes is important, and it is beneficial to consult with a qualified dental professional. They can assess your situation, discuss treatment options, and develop a personalized plan that meets your specific needs. The decision ultimately rests on your personal circumstances and expectations, with the goal of achieving a brighter, more confident smile.
Finding a KOR Whitening Provider
Finding a qualified KOR Whitening provider is a crucial step in ensuring a successful and satisfying experience. Begin by researching local dental practices and verifying that they are certified to provide KOR Whitening services. Look for dentists with experience in cosmetic dentistry and a strong reputation for patient care. When selecting a provider, consider factors such as the dentist’s experience, the range of services they offer, and patient reviews. Schedule a consultation to discuss your goals and to ask any questions you may have. This ensures you choose a provider who can provide you with the highest level of expertise and care. This careful selection process can help you achieve optimal results and a positive experience.
Cost and Financing Options
The cost of KOR Whitening can vary depending on factors such as the geographic location, the dentist’s fees, and the extent of the treatment required. It’s essential to discuss the cost with your dentist during the consultation. Also inquire about financing options, as many dental practices offer payment plans to make the treatment more affordable. Understanding the financial aspects of the treatment helps you plan accordingly. Be sure to explore your financing options before starting the procedure. This will allow you to make an informed decision. It will also allow you to budget effectively for a brighter, more confident smile. Don’t hesitate to inquire about payment options, such as dental insurance or payment plans, to make the treatment more accessible.
Conclusion
KOR Whitening presents a remarkable solution for individuals seeking to overcome the aesthetic challenges of tetracycline stains. Its advanced technology, combined with a personalized treatment approach, offers the potential for dramatically improving tooth color and restoring a brighter, more confident smile. From understanding the causes of these stains to exploring the step-by-step process and the significance of aftercare, this guide has provided a thorough overview of the benefits and considerations of KOR Whitening. If you’re ready to transform your smile and reclaim your confidence, consulting with a qualified dental professional is the first step. With KOR Whitening, achieving the radiant smile you’ve always desired is within reach.
