Understanding Trill Teeth Whitening
In the pursuit of a dazzling, confident smile, teeth whitening has become a popular cosmetic procedure. Trill Teeth Whitening offers a convenient and effective solution for those seeking to brighten their pearly whites. But what exactly is Trill Teeth Whitening, and how does it work? This guide will explore the ins and outs of Trill Teeth Whitening, providing you with the knowledge you need to achieve a brighter, more confident smile. From the science behind the process to the steps you need to take, we’ll cover everything you need to know to unlock your smile’s full potential.
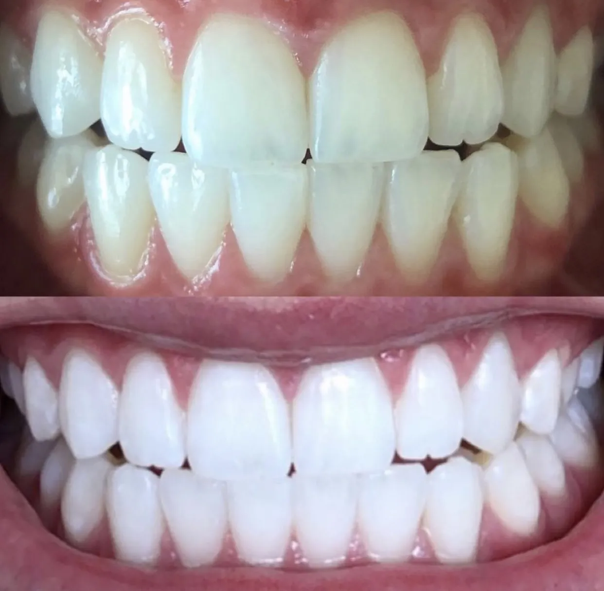
What is Trill Teeth Whitening?
Trill Teeth Whitening refers to a specific brand or product line designed to whiten teeth. These products typically use a bleaching agent, such as hydrogen peroxide or carbamide peroxide, to break down stains and discoloration on the surface of the teeth. Unlike professional teeth whitening, Trill products are often available for home use, offering a more accessible and affordable option for individuals looking to enhance their smile. The goal of Trill Teeth Whitening is to remove extrinsic stains caused by food, drinks, and smoking, revealing a brighter, more youthful-looking smile. The convenience and ease of use make Trill Teeth Whitening an appealing choice for many.
The Science Behind Trill Teeth Whitening

The science behind Trill Teeth Whitening involves the chemical reaction of the bleaching agent with the stained molecules within the enamel of your teeth. The active ingredient, usually hydrogen peroxide or carbamide peroxide, penetrates the enamel and breaks down the stain molecules into smaller, less visible components. This process effectively lightens the overall shade of your teeth. The concentration of the bleaching agent and the duration of the application influence the whitening results. While Trill Teeth Whitening products are generally safe, it’s essential to follow the instructions carefully to avoid potential side effects like tooth sensitivity.
Benefits of Trill Teeth Whitening
Trill Teeth Whitening offers a range of benefits that extend beyond just aesthetics. A brighter smile can significantly boost your self-esteem and confidence, positively impacting your social interactions and overall well-being. Removing stains and discoloration can make your teeth appear healthier and more youthful. Furthermore, Trill Teeth Whitening is a relatively quick and easy process, allowing you to achieve noticeable results without extensive dental procedures. The convenience of at-home whitening options makes it accessible for many people, and the affordability compared to professional treatments is another significant advantage.
How to Get Started With Trill Teeth Whitening
Embarking on your Trill Teeth Whitening journey requires careful consideration and preparation. Choosing the right product, understanding your teeth’s condition, and following the instructions are all crucial steps. Proper preparation ensures that you achieve the best possible results while minimizing any potential risks. Before starting any teeth whitening process, it’s always a good idea to consult with your dentist to ensure it’s safe for your teeth and gums. They can also provide personalized advice and recommendations based on your specific oral health needs.
Choosing the Right Trill Teeth Whitening Product

The market offers a variety of Trill Teeth Whitening products, each with its own formulation and application method. Selecting the right product depends on your individual needs and preferences. Consider the concentration of the bleaching agent, the application method (strips, trays, pens), and any additional features, such as desensitizing agents. Reading reviews and comparing different products can help you make an informed decision. You should also take into account the expected results and the time commitment required. Choose a product that aligns with your lifestyle and goals to maximize your chances of success.
Types of Trill Teeth Whitening Products Available
Trill Teeth Whitening products come in several forms to cater to different preferences. Whitening strips are a popular choice due to their ease of use and portability. Whitening trays, either custom-fitted or pre-made, provide a more even application of the whitening gel. Whitening pens are ideal for touch-ups and targeting specific areas. Toothpaste and mouthwashes with whitening properties offer a more gradual approach. When choosing, consider which method best suits your lifestyle and desired level of whitening. Each type offers a unique set of advantages, so select one that aligns with your convenience and oral care routine.
Where to Buy Trill Teeth Whitening Products
Trill Teeth Whitening products are readily available through various channels. You can find them at most pharmacies, drugstores, and supermarkets. Online retailers also offer a wide selection, allowing you to compare products and read reviews before making a purchase. Always ensure that you purchase from a reputable source to guarantee product quality and authenticity. When buying online, pay attention to the seller’s ratings and reviews. Also, compare prices and shipping costs to find the best deal. Consider buying directly from the manufacturer’s website for the most reliable source.
Preparing Your Teeth for Whitening

Before starting Trill Teeth Whitening, it’s crucial to prepare your teeth for optimal results. Brush and floss your teeth thoroughly to remove any plaque or food particles. This ensures that the whitening agent can effectively penetrate the enamel. If you have any dental work, such as fillings or crowns, consult with your dentist. Whitening products do not affect the color of these materials. So, consider this factor when choosing a whitening product. Avoid using any whitening products if you have active gum disease or any other oral health issues. Address these issues before starting the whitening process.
The Trill Teeth Whitening Process
The Trill Teeth Whitening process involves several straightforward steps. Following the instructions carefully ensures effective whitening and minimizes potential side effects. Whether you’re using strips, trays, or a pen, understanding the process is key to achieving the desired results. From preparation to application and aftercare, each step plays a vital role in your journey to a brighter smile. Remember to be patient and consistent, as results may vary depending on the product and your individual tooth characteristics.
Step-by-Step Guide to Using Trill Teeth Whitening
The specific steps for using Trill Teeth Whitening products vary depending on the product type. Generally, you’ll begin by brushing and flossing your teeth. For strips, apply the strips to your upper and lower teeth, ensuring they cover the front surfaces. For trays, fill the tray with the whitening gel and place it over your teeth. Use a whitening pen directly to the surface of each tooth. Follow the product instructions for the duration of application, usually 30 minutes to an hour. After the recommended time, remove the strips or trays, rinse your mouth, and avoid eating or drinking anything that could stain your teeth for at least an hour.
Tips for Optimal Results

To achieve the best possible results with Trill Teeth Whitening, consider these tips. Use the product consistently, as directed, for the recommended duration. Avoid over-whitening, as this can lead to increased sensitivity. Be patient, as results may take a few days or weeks to become fully apparent. Consider the use of a desensitizing toothpaste to help manage any sensitivity. Keep your teeth hydrated, as this can also reduce sensitivity. Maintain good oral hygiene, including regular brushing, flossing, and dental check-ups. Combining Trill Teeth Whitening with good oral care habits will maximize your results and maintain your dazzling smile for longer.
Maintaining Your Dazzling Smile
Once you’ve achieved your desired level of whitening, maintaining your results is essential. Proper care and attention can help prolong your brighter smile. Incorporating certain habits and avoiding others will contribute to keeping your teeth looking their best for an extended period. With the right approach, you can enjoy your dazzling smile for months or even years to come. Remember, consistency is key. Continued maintenance helps preserve your investment in a beautiful smile and keeps your teeth looking healthy and radiant.
Post-Whitening Care
After completing your Trill Teeth Whitening treatment, follow these post-whitening care tips. Avoid eating or drinking highly pigmented foods and drinks for at least 24 hours. These include coffee, tea, red wine, and berries. Brush your teeth gently with a soft-bristled toothbrush. Consider using a whitening toothpaste, but alternate with a desensitizing toothpaste if needed. Schedule regular dental check-ups to monitor your oral health and receive professional cleanings. These cleanings can help remove surface stains. Avoid smoking, as it can quickly stain your teeth. Following these simple steps can help you maintain your dazzling smile for longer.
Avoiding Staining Foods and Drinks

To preserve your bright smile, be mindful of the foods and drinks you consume. Certain items can easily stain your teeth, reversing the effects of your whitening treatment. Avoid or limit your intake of coffee, tea, red wine, dark sodas, and heavily pigmented fruit juices. Be cautious with foods that contain strong dyes, such as berries, curries, and tomato-based sauces. If you consume these items, rinse your mouth with water immediately afterward. Consider using a straw for beverages to minimize contact with your teeth. By making these conscious choices, you can significantly extend the life of your beautifully whitened teeth.
Long-Term Smile Maintenance
Long-term smile maintenance involves consistent oral hygiene practices. Brush your teeth twice a day for two minutes, using a fluoride toothpaste. Floss daily to remove plaque and food particles from between your teeth. Use mouthwash to help kill bacteria and freshen your breath. Schedule regular dental check-ups and professional cleanings every six months. Consider occasional touch-up whitening treatments to maintain your bright smile. By adopting these habits, you can enjoy a confident, dazzling smile for years to come. Remember, a healthy smile is a beautiful smile, so prioritize your oral health.
Potential Side Effects and Solutions
While Trill Teeth Whitening is generally safe, it’s important to be aware of potential side effects and how to manage them. The most common side effect is tooth sensitivity, which can be temporary. Other potential issues include gum irritation or uneven whitening. Understanding these potential issues allows you to take the necessary precautions and seek professional advice if needed. Proper product usage, adherence to instructions, and awareness of your teeth’s condition will help minimize the risk of side effects and ensure a positive whitening experience.
Sensitivity and How to Manage It

Tooth sensitivity is a common side effect of teeth whitening. It occurs when the whitening agent penetrates the enamel and irritates the nerves in your teeth. If you experience sensitivity, there are several steps you can take to manage it. Use a desensitizing toothpaste containing potassium nitrate. Avoid extremely hot or cold foods and drinks. Take breaks from the whitening treatment to allow your teeth to recover. If sensitivity is severe or persistent, consult your dentist. They may recommend additional treatments or adjust your whitening plan. With proper management, you can effectively minimize discomfort and continue whitening your teeth.
Other Potential Issues
Besides sensitivity, other potential issues may arise from Trill Teeth Whitening. Gum irritation can occur if the whitening agent comes into contact with your gums. To prevent this, make sure the product is properly applied. Uneven whitening is another possibility, especially if you have fillings, crowns, or other dental work. These materials do not whiten, so they may appear darker than the rest of your teeth. In rare cases, allergic reactions can occur. If you experience any unusual symptoms, discontinue use and consult your dentist. They can assess your condition and provide appropriate treatment.
In conclusion, Trill Teeth Whitening offers an accessible and effective way to achieve a brighter, more confident smile. By understanding the process, choosing the right product, and following the necessary steps, you can enhance your smile with ease. Remember to prioritize your oral health, maintain good hygiene practices, and consult your dentist for personalized advice. Embrace your dazzling smile and the boost in confidence that comes with it!
