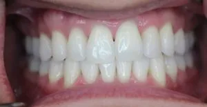
Understanding Zoom Whitening and Aftercare
Zoom Whitening is a popular in-office teeth whitening procedure designed to dramatically brighten your smile in a single appointment. The process involves applying a powerful whitening gel to your teeth and activating it with a special blue light. This light accelerates the whitening process, breaking down stains and discoloration. Following Zoom Whitening, proper aftercare is crucial for maximizing results and preventing the reabsorption of stains. This includes adhering to a specific diet, maintaining good oral hygiene, and avoiding certain substances. Understanding the importance of aftercare is the first step toward enjoying a long-lasting, dazzling smile.
How Zoom Whitening Works
The Zoom Whitening process is a carefully orchestrated series of steps aimed at delivering a significantly whiter smile. First, your dentist will prepare your mouth, which often includes isolating your gums and lips to protect them from the whitening agent. Then, a high-concentration hydrogen peroxide gel is applied to the surface of your teeth. The Zoom! light is then directed at your teeth, activating the hydrogen peroxide. This light helps the gel penetrate the enamel and break down stain molecules. The process is typically repeated in 15-minute intervals, for a total treatment time of about an hour. Results can vary, but many patients experience several shades of improvement in a single session.
Why Diet Matters After Whitening

Following a strict diet after Zoom Whitening is essential because the pores in your enamel are temporarily opened during the procedure. This makes your teeth more susceptible to staining. Certain foods and beverages contain pigments that can easily seep into these pores and cause discoloration, negating the whitening effects. The aftercare diet aims to avoid these staining agents while allowing your enamel to remineralize and stabilize. The duration of the diet can vary but generally lasts for a few days to a couple of weeks, depending on your dentist’s recommendations. By carefully selecting what you eat and drink, you can protect your investment in a brighter, more beautiful smile.
Top 5 Foods to Eat After Zoom Whitening
Choosing the right foods after Zoom Whitening is vital for maintaining your new, brighter smile. Focus on consuming foods that are light in color and less likely to stain your teeth. These foods are gentle on your teeth and will not compromise the whitening treatment. Here are five food choices you can safely include in your post-whitening diet, ensuring both your enjoyment and the longevity of your brilliant smile.
Bananas for Gentle Nourishment
Bananas are an excellent choice for post-whitening nourishment. Their soft texture and light color make them gentle on your teeth, and the absence of strong pigments ensures they won’t stain your enamel. Bananas are also easy to eat, which can be beneficial if your teeth or gums are slightly sensitive after the procedure. Plus, bananas provide essential vitamins and minerals, contributing to your overall health without jeopardizing your bright, new smile. Enjoying a banana is a simple and delicious way to satisfy your hunger while adhering to your post-whitening dietary restrictions.
White Rice for Bland Comfort

White rice is another safe bet after Zoom Whitening. Its neutral color and bland flavor profile make it unlikely to cause staining. Moreover, white rice is easily digestible, which makes it a good option if your teeth feel sensitive or if you’re looking for something that won’t require extensive chewing. You can pair white rice with other permitted foods, such as plain chicken or dairy-free yogurt, to create a balanced and satisfying meal that supports both your dietary needs and your freshly whitened teeth.
Plain Chicken or Turkey for Protein
Plain chicken or turkey provides a great source of protein without the risk of staining. Ensure your poultry is cooked without dark sauces or marinades, as these can contain pigments that may affect your whitening results. The lean protein in chicken and turkey is essential for maintaining overall health and supporting the healing process, if your gums are sore or sensitive after your treatment. Prepared in a light, neutral manner, such as grilled or baked, these options offer a filling and nutritious way to support your post-whitening diet.
Pasta for Easy Eating
Plain pasta is a great choice, as long as it is prepared without dark sauces or ingredients that might stain your teeth. The soft texture and ease of chewing make pasta a comfortable option. Choose white pasta, as it has a lighter color and is less likely to cause staining. Ensure that you avoid adding tomato-based sauces, pesto, or any other pigmented sauces until your dentist gives you the all-clear. Pairing pasta with a mild sauce or other permitted foods can give you a satisfying and safe meal during your aftercare.
Dairy-Free Yogurt

Dairy-free yogurt is an excellent food choice, providing a creamy, yet safe option to enjoy. It is light in color, has a mild flavor profile, and is gentle on your teeth, helping maintain the results of the Zoom Whitening. Ensure the yogurt is free of artificial colors, dark berries, or fruits that could potentially stain your teeth. Dairy-free yogurts are a perfect addition to your diet, allowing you to enjoy a delicious treat while adhering to the requirements of your post-whitening care.
Foods to Avoid After Zoom Whitening
While some foods are safe, others can seriously jeopardize your whitening results. These foods often contain strong pigments or acids that can stain your teeth or erode the enamel. The following are the main food groups to stay away from during your aftercare period, ensuring your newly whitened teeth stay bright for as long as possible. Being mindful of your diet is crucial to prevent setbacks and protect the investment you’ve made in your smile.
Coffee and Tea
Coffee and tea are notorious for staining teeth due to their dark pigments. These beverages can quickly penetrate the open pores of your enamel and cause discoloration. Even light-colored teas can contain tannins, which can contribute to staining. During your aftercare period, it’s best to avoid coffee and tea completely, or at the very least, use a straw to minimize contact with your teeth. Alternatively, consider switching to clear herbal teas. This will help protect the whiteness achieved during your Zoom Whitening treatment.
Red Wine and Dark Juices

Red wine is well-known for its staining properties, containing strong pigments that can rapidly stain your teeth. Dark juices, like grape juice, cranberry juice, and pomegranate juice, are also high in staining pigments and should be avoided. The acids in these beverages can further erode your enamel, making your teeth even more susceptible to staining. To protect your newly whitened smile, it’s vital to eliminate these drinks from your diet until your dentist advises otherwise.
Dark-Colored Fruits and Vegetables
Certain fruits and vegetables, such as blueberries, blackberries, cherries, beets, and spinach, contain strong pigments that can stain your teeth. Even if these foods are healthy, their deep colors can compromise your whitening results. Steer clear of these items during your aftercare period. If you’re craving fruits and vegetables, opt for light-colored options, such as peeled apples, pears, or cooked cauliflower, until your dentist gives you the green light to reintroduce these foods.
The Importance of Hydration and Oral Hygiene
Besides diet, maintaining proper hydration and oral hygiene is essential for the success of your Zoom Whitening procedure. Drinking plenty of water not only keeps your body functioning well but also helps to rinse away food particles and prevent stains. Coupled with the correct oral hygiene practices, it will help to maximize your whitening results and keep your smile looking bright and healthy. These steps are fundamental in ensuring the longevity and effectiveness of your treatment.
The Role of Water in Whitening Aftercare

Water plays a crucial role in maintaining your teeth’s whiteness post-Zoom Whitening. Water helps to rinse away food particles and any lingering pigments that could potentially stain your teeth. Staying well-hydrated also stimulates saliva production, which is your mouth’s natural defense against stains and plaque. Aim to drink plenty of water throughout the day to support your oral health and help to preserve your brighter smile. Water is a simple yet powerful tool in your aftercare routine.
Maintaining Oral Hygiene
Proper oral hygiene is crucial for maintaining the results of your Zoom Whitening. Brush your teeth gently with a soft-bristled toothbrush and a whitening toothpaste, at least twice a day. Floss daily to remove plaque and food particles from between your teeth. Consider using a mouthwash that is specifically designed for sensitive teeth, which won’t contain alcohol, and avoid staining your newly whitened teeth. Consistent oral hygiene is your best defense against stains and helps to keep your teeth healthy and bright.
Conclusion
Following a carefully planned diet after Zoom Whitening is a vital step in ensuring the longevity of your stunning new smile. By understanding the foods to eat and avoid, you can help maintain the brilliant results achieved during your in-office treatment. Coupled with excellent oral hygiene and plenty of water, you can be confident in enjoying a bright, healthy, and stain-free smile for years to come. Prioritizing aftercare will help you to fully experience the transformative effects of Zoom Whitening and to feel confident in your dazzling smile.
