What is Zoom Whitening
Zoom whitening is a popular and effective in-office teeth whitening system offered by dentists. It’s a professional procedure designed to significantly brighten your smile in a single appointment. This method utilizes a high-concentration hydrogen peroxide gel that is applied to the teeth. The process is then accelerated by a special blue LED light, which helps to break down the stains and discoloration on the enamel. Zoom whitening is known for its quick results and ability to provide a noticeably whiter smile in a relatively short amount of time. It’s a convenient option for those seeking immediate and dramatic improvements in their teeth’s appearance.
How Does Zoom Whitening Work
The core mechanism of Zoom whitening revolves around the action of hydrogen peroxide gel and the specialized LED light. The hydrogen peroxide, which is the active whitening agent, penetrates the enamel to break down the molecules that cause discoloration. These molecules are often the result of years of staining from foods, drinks, and natural aging. The Zoom light emits a specific wavelength of blue light that helps to activate and accelerate the whitening process. This light enhances the effectiveness of the gel, allowing it to work more efficiently and quickly. The process is carefully monitored by a dental professional to ensure safety and optimal results.
The Zoom Whitening Procedure

The Zoom whitening procedure is typically completed in a single dental visit. The process starts with a dental examination to assess the condition of your teeth and gums, ensuring that you are a suitable candidate for the treatment. The procedure involves isolating the teeth, protecting the gums, and applying the whitening gel. The Zoom light is then positioned to shine on the teeth for a specific duration, usually in intervals of about 15 minutes. After each interval, the gel is removed, and a new application may be applied, repeating the process to achieve the desired level of whiteness. The dentist closely monitors the patient’s comfort and the teeth’s response throughout the process. The total appointment time is approximately 60 to 90 minutes.
Preparing for Zoom Whitening
Before undergoing Zoom whitening, it’s essential to prepare your teeth to maximize the effectiveness of the treatment and minimize any potential sensitivity. Your dentist will likely recommend a professional cleaning to remove any plaque or tartar buildup, as these can hinder the whitening agent’s contact with the enamel. It is also essential to have any cavities or other dental issues addressed before the procedure. If you have sensitive teeth, your dentist may suggest using a desensitizing toothpaste for a couple of weeks before the treatment. Following all the dentist’s pre-treatment instructions is crucial to ensuring a comfortable and successful whitening experience.
The Whitening Process
During the Zoom whitening process, your dentist will begin by protecting your gums and lips using a protective barrier. Then, the whitening gel is carefully applied to the surface of your teeth. The Zoom light is then directed at your teeth to activate the gel. This light helps to break down the stains and discoloration on your teeth. The process usually involves several cycles, each lasting about 15 minutes. After each cycle, the gel is removed, and the teeth are checked for progress. The dentist may apply additional coats of the whitening gel to achieve the desired level of whiteness. Finally, after the last cycle, the dentist will remove all protective barriers and provide post-whitening care instructions.
Post-Whitening Care

After Zoom whitening, proper post-whitening care is crucial to maintain your bright smile and reduce sensitivity. Your dentist will provide specific instructions on what to avoid and how to care for your teeth. Generally, it is advised to avoid foods and drinks that can stain your teeth, such as coffee, tea, red wine, and dark-colored berries, for at least the first 48 hours. It is also recommended to use a toothpaste specifically designed for sensitive teeth and to brush gently. Regular dental check-ups and cleanings will help in maintaining the results. Following these guidelines will help to extend the longevity of your whitening results.
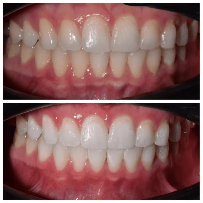
Expected Results from Zoom Whitening
The results from Zoom whitening can be quite impressive, with many patients experiencing a significant improvement in the brightness of their teeth. On average, patients can expect their teeth to become several shades whiter after a single Zoom whitening session. However, it is important to note that the exact number of shades varies depending on several factors, including the initial shade of your teeth and the type of stains present. Most individuals see a noticeable difference, often achieving smiles that are several shades lighter than their original shade. It is crucial to have realistic expectations and understand that individual results may vary. The goal is a brighter and more confident smile.
How Many Shades Can You Whiten
The number of shades you can whiten with Zoom whitening varies, but the procedure is known for its effective results. Typically, patients can expect to see a change of up to eight shades lighter on the Vita shade guide, which is a standardized method for measuring tooth color. This can vary, but often a significant improvement is seen. Some individuals might experience more dramatic results, while others might see a more moderate change. The degree of whitening depends on factors like your natural tooth color, the severity of stains, and the overall health of your teeth. Your dentist can provide a more personalized estimate based on your unique dental profile.
Factors Affecting Whitening Results

Several factors can influence the outcome of your Zoom whitening treatment. The initial color of your teeth is a key factor; teeth that are more heavily stained or naturally darker may see more dramatic improvements. The type of stains also plays a role, with stains from coffee, tea, and tobacco products generally responding well to whitening treatments. The overall health of your teeth, including the presence of fillings, crowns, or other dental work, can also affect the final result. Individual enamel thickness and porosity, which are genetic traits, also have a role in how well teeth whiten. Finally, adhering to post-whitening care instructions is critical to maintaining and maximizing the results.
Maintaining Your Bright Smile
Maintaining your brighter smile after Zoom whitening requires conscious effort and adherence to certain practices. Since teeth can re-stain over time, it’s important to adopt habits that minimize this risk. This involves a combination of dietary choices, good oral hygiene, and regular professional care. Avoid or limit the consumption of staining foods and drinks, such as coffee, tea, red wine, and berries. Continue to practice diligent brushing and flossing to remove plaque and debris. Additionally, consider using a whitening toothpaste to help maintain the brightness of your teeth and visit your dentist for regular check-ups and cleanings to keep your smile looking its best.
Best Practices for Long-Lasting Results
To prolong the results of your Zoom whitening, follow these best practices. First and foremost, maintain excellent oral hygiene. Brush your teeth at least twice a day and floss daily to remove plaque and food particles. Be mindful of your diet and limit the intake of stain-causing foods and drinks. If you consume these items, rinse your mouth with water immediately afterward. Use a straw when drinking beverages that can stain your teeth, such as soda or iced tea. Consider using a whitening toothpaste or mouthwash as part of your daily routine. Finally, schedule regular dental check-ups and cleanings to maintain the health and brightness of your smile.
Foods and Drinks to Avoid

After Zoom whitening, it’s important to be mindful of the foods and drinks you consume to prevent staining and maintain your results. Generally, you should avoid or limit dark-colored foods and drinks, such as coffee, tea, red wine, cola, and dark fruit juices. Berries, soy sauce, and balsamic vinegar can also stain your teeth. If you must consume these items, it’s best to do so in moderation and rinse your mouth with water immediately afterward. Consider using a straw for drinks to minimize contact with your teeth. Following these guidelines will help to protect your newly whitened smile.
Professional Maintenance
Professional maintenance is essential for preserving the results of your Zoom whitening treatment. Regular dental check-ups and cleanings are crucial. During these visits, your dentist will assess the overall health of your teeth and gums and remove any plaque or tartar buildup. They may also offer professional teeth cleaning to help maintain the brightness of your smile. Your dentist may recommend touch-up whitening treatments every few months or years, depending on your lifestyle and the degree of staining. These professional maintenance steps will help ensure that your smile remains bright and beautiful for as long as possible, complementing your home care routine.
